Opening pricing on new patient exams, hygiene appointments and professional whitening at our new Wellingborough clinic.


30+ years of orthodontic experience
Enjoy a free 45-minute consultation
3D itero scanner means no messy impressions

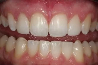
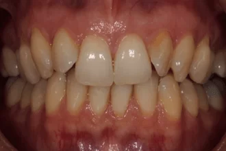
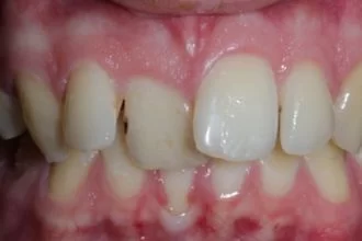
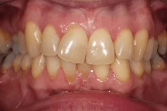
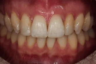
Invisalign is ideal for adults and teens wanting to straighten their teeth without the look or feel of traditional braces. It’s effective for crowding, spacing, overbites, underbites and more – all with minimal disruption to daily life.
Whether you’re based in Wellingborough, Irthlingborough, Rushden, Finedon or Higham Ferrers, our tailored Invisalign treatments are built around your lifestyle.

At Wellingborough Dental & Implant Clinic, your journey starts with a 3D digital scan using our advanced iTero scanner – no messy impressions required.
From this scan, we create a series of custom-made aligners that gently shift your teeth over time. You’ll wear each set for 1–2 weeks, with regular check-ins to track progress and keep things on course. Everything is led by our experienced team and planned around your routine for a smooth, stress-free experience.
A full clinical assessment will confirm if it’s the right choice for you.

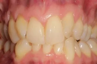
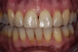
Invisalign is a modern alternative to fixed braces that uses a series of clear, removable aligners to gently move your teeth into a straighter position. Each aligner is custom-made from smooth, BPA-free plastic and designed to fit comfortably over your teeth.
They’re virtually invisible when worn, and because you can remove them to eat, brush and floss, they offer one of the most convenient ways to straighten your smile.

Invisalign treatment at our Wellingborough clinic starts from just £50 per month. We offer 0% interest up to 18 months and longer-term plans up to 60 months. You’ll receive a personalised quote at your consultation.
Yes – we offer Invisalign for suitable teens as well as adults. If another option is more appropriate, we also provide fixed ceramic and metal braces or functional appliances.
You’ll meet Claire, our Treatment Coordinator, for a relaxed 45-minute session. We’ll explore your goals, answer questions and explain how Invisalign works. No messy impressions – we use digital iTero scans for comfort and accuracy.
Yes. Simply remove your aligners when eating or drinking, then brush before putting them back in. This flexibility is one of Invisalign’s biggest benefits over fixed braces.
Yes, we're a fully private dental clinic in Wellingborough, offering Invisalign to patients across Northamptonshire, including Irthlingborough, Great Harrowden, Finedon and Wilby. We're just 10 minutes from the town centre and close to Wellingborough train station, with free parking and wheelchair access.


















